日本で一番安いデジパン
シュアビジョン発売開始!
デジタルパノラマX線撮影装置 SUREVISION
クラスⅡ(管理医療機器)承認番号:224AIBZX00044000
保険点数デジタル加算適応製品です
簡単設定
簡単なポジション設定で、鮮明なデジタル画像がコンスタントに得られます。直観的な操作画面で簡単に撮影が完了します。
座位、立位撮影OK
身長に応じて小児は立位、大人は座位など患者様に合わせた撮影が可能です。
軽量コンパクトでスペースをとらない装置です。
> 詳しくはコチラから純国産製品です。
照射機…実績のある㈱シノン製を採用
CCDセンサー…宇宙開発その他で実績のあるマークテクノロジ
ー㈱製を採用
パノラマ、デンタル同時発売!
デンタルの撮影から画像取得までの時間を大幅に短縮!撮影とほぼ同時に鮮明なデジタル画像が得られます。
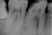
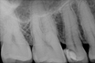
デジタルだから速くて鮮明な画像が撮影可能 ネディックス デンタル ND001
- 仕 様
- ・画像領域寸法 30mm x 20mm
- ・画素数 1,500,000
- ・CCDセンサー
(X線高感度、高解像度CCD)による高画質なデジタル処理画像 - ・現像機、スキャナ不要で撮影後のスムーズな診断が可能
- ・専用管理ソフトの導入により患者データと取得画像を一元管理
クラスⅡ(管理医療機器):承認番号22400BZX00257000
保険点数デジタル加算適応製品です。

